这是一例做试管婴儿后,引起非常少见的并发症。
患者受孕二个月后,出现呕吐,起初以为正常受孕表现,但接下去160多天中,呕吐腹痛一直伴随着患者,除了躯体痛以外,精神上也承受了无法想象的痛;作为医师,看着患者受到折磨,苦于没有好的办法,来及时缓解患者的病痛,内心同样承受了巨大的压力。
这是我从医职业生涯中,最让我痛苦的病例之一。
这也是值得反思的一个病例。
患者是一位非常可爱的“小朋友”(我一直这样称呼她),婚后不孕不育,经过数年努力,七个多月前,做了试管婴儿,终于顺利怀上了胎儿,憧憬着未来的生活,美滋滋的,说不出有多高兴。
但没高兴了多久,一场马拉松式的痛苦,在等待着她。
怀孕二个月后,“小朋友”出现了呕吐,本想是喜事,但呕吐越来越频繁,而且还出现了右下腹疼痛,这下有点扛不住了,先到附近医院就诊。因为妊娠才二个月,又是试管婴儿,6年前“甲状腺癌”做过“甲状腺全切”术,感到问题有点复杂,就让她转到做试管婴儿的妇儿医院去诊治。
妇儿医院接收后,同样觉得很棘手。经过再三考虑,认为要进一步明确诊断,非常有必要做CT等一系列检查,虽然后者对二个月的胎儿是致命的,但毕竟大人的安危是第一位的。当患者及家人知道了医师的建议,真是一下子接受不了,好不容易有了迟到的希望,还没有真正感受到做母亲的喜乐,又要化为泡影,受到的打击、内心的感受和痛是难以想象的。但患者家人经过反复权衡利弊,非常理智,最后选择配合医师,放弃继续妊娠。
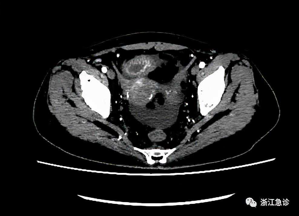
患者做出决定后,医师马上进行了相关检查。上腹部CT有了重要的发现:门静脉有血栓形成,加上小肠有局部水肿。且患者出现明显胸闷气促,有呼吸衰竭表现,这下也越发觉得问题的严重,因为妇儿医院相对比较专业,综合能力有欠缺,就请我们科王主任去会诊,并转来我院诊治。
试管婴儿引起肺栓塞是常见的并发症,但门静脉血栓塞是极其罕见。
到我院后,又增做了肠系膜血管造影。除了有门静脉血栓外,还提示部分小肠肠壁水肿、增厚,肠系膜远端血管显示不清,缺血性改变,考虑“肠系膜上静脉血栓形成”。另外胸腔、腹腔及盆腔还有大量的积液,两肺有渗出性改变。
出现呼吸困难,难道还有肺栓塞?由于病情危重,不得不收入监护病房救治。
入院后,因为患者是孕妇,而且病情复杂危重,立即组织了全院总会诊。总会诊建议主要有二点:一、排除易栓症、ACAlgA、M、G)相关检查均阴性,没有更多的发现。

患者经过抢救,胸闷气促逐渐好转,也没有发现有肺栓塞,情况也慢慢稳定,胸腔积液及肺部渗出减少,十天后,在全麻下行“钳夹术及电吸刮宫术”,中止妊娠。
人流后转至急诊病房,继续抗凝、抗炎(先后用了头孢哌酮舒巴坦针、美罗培南针、头孢唑肟针)、肠外营养、肠内营养、护胃、补液等一般支持对症治疗。
因为甲状腺全切了,调整了甲状腺治疗方案(优甲乐)。
面对门静脉血栓、脾静脉及肠系膜静脉栓塞,影像学提示血栓发生有了很长时间了(已经有海绵样变),只能抗凝治疗,除此没有更好的方法,希望尽快把血栓溶解,恢复正常。
一周后,患者腹痛又加重了,查腹部CT提示“肠梗阻”,考虑是肠系膜静脉阻塞所致,胃肠减压后,逐渐好转,逐步开放饮食,病情终于稳定下来。出院后,继续口服抗凝治疗(利伐沙班)。

试管婴儿后出现有门静脉、脾静脉的慢性血栓塞阻塞,和小肠不全梗阻,同时并发有多浆膜腔积液、呼吸衰竭,前期治疗总体效果还是比较好的,本以为病情是会慢慢往好的方向发展。
但没有想到,这只是一厢情愿,因为还潜伏着另一个危险。
出院后,患者一直有呕吐,每2-3天1次,症状不严重,没有明显腹痛。时间一长,患者的营养状态越来越差,体重下降三十多斤,没有办法继续工作,只能再苦苦等待,急切盼望血栓快点溶解,恢复正常生活。
这样苦苦煎熬了三个月。
三个月后,呕吐突然加剧,并出现右下腹部疼痛加重,有时呕吐物带有血,实在熬不住了,只得急诊来院,复查“腹部肠系膜动脉CTA提示:1.结合病史,门脉血栓及肠系膜上静脉血栓治疗后,门脉海绵样变。2.小肠壁多发肿胀,考虑淤血性改变考虑;盆腹腔积液;肠系膜脂膜炎考虑。3.不均质脂肪肝”。还是没有其它发现。经过仔细比对前后CT,患者门静脉及脾静脉栓塞有了明显的改善,基本都通了。
这就给我们带来一个疑问:为什么门静脉及脾静脉都通了,症状反而加重?为什么小小肠系膜静脉栓塞这么难好?一时也没有更多发现,只能继续抗凝及支持治疗,只希望时间会给出好的结果。
然而事与愿违。禁食胃肠减压后症状减轻,进食后不到一二天,又出现腹痛加重,出现不全性肠梗阻,再次禁食后一段时间,腹痛情况好转,试着进食,但没过几天,又出现腹痛腹胀,停止进食后又好转。
就这样,一直走不出禁食-症状减轻-进食又出现腹痛的怪圈。
由于问题一直没有解决,曾与北京联系想转上级医院,但由于新冠疫情,一直没能成行。
到了第二次入院后的四十三天,复查“腹部肠系膜动脉CTA:1.结合病史,门脉血栓及肠系膜上静脉血栓治疗后,门脉海绵样变,请结合临床并随访。2.提示回盲肠区系膜炎性病变并盆腔积液,请结合临床。3.小肠梗阻。4.脂膜炎。5.不均质脂肪肝”。
到这时,CT检查有了新的发现(12月30日),子宫附件发现有炎性肿块可能。

面对新的情况,总觉得病情没有那么简单,背后还有问题,既然有炎性肿块可能,经过再三考虑,最终决定做腹腔镜检查,想搞清楚肠梗阻的真正原因。
正是这个决定,疾病有的转机。
经腹腔镜找到半年多来引起腹痛呕吐的真正元凶:小肠梗阻部位与右侧子宫附件粘连非常明显,是子宫附件慢性炎症造成的肠梗阻,而不是肠系膜上静脉血栓。
至于子宫附件附近的炎性肿块,推测也有可能是做试管婴儿的并发症之一。
解除梗阻,切除部分小肠后,现在情况稳定。患者和我们医师都很高兴。
这也是我四十多年从医生涯中,遇到最奇葩的腹痛。
在这半年多的过程中,“小朋友”遭受了太多的痛,先因病中止妊娠的痛,接下来半年多,呕吐腹痛似乎成了她的生活总基调,除了躯体痛苦外,精神或心灵的痛等等……,能坚持这么久,忍受如此的痛和苦,真不容易,真的不容易!
这个经历,让我们对生命的意义有了更深的理解,越来越富裕的生活,快乐和美好,并没有像买一送一的面包圈进入我们的篮子,而“小朋友”与老公俩小夫妻,面对如此大的打击与痛苦,坚强和乐观,默默一起承受痛苦,这种心灵的相守,是真实的、让人羡慕的或期盼的爱的最高境界。
我们之所以能坚持这么久,也与患者及家人的配合分不开。在艰难的160天中,患者和其家人几乎没有抱怨一句,这是我们从没有遇到过的,也让我们收获了难有的温暖,这种温暖只有面对这样的患者和家人才能真切地感悟到!
【评述】这是一例因为做试管婴儿引起的少见的并发症。试管婴儿引起肺栓塞等并发症不少见,但引起门静脉及脾静脉如此严重的血栓的栓塞还是极少见。
因为患者妊娠后二个月,出现呕吐腹痛,CT等检查发现了门静脉等处几乎完全阻塞,肠壁的局部水肿自然理解为是肠系膜静脉阻塞所致,也因为这个因素很难让我们的思维走出困境,加上早期没有其它发现,到了发病半年后,才发现右侧子宫附件有炎性肿块,最后让医师下决心腹腔镜检查手术,值得我们深思。
在这半年多,虽然患者和医师都承受了巨大的痛,但这例患者及家人的配合,让我们感受常人难以体会的爱和善良。这也是我们医师这个职业的魅力所在!
审核:胡海燕
免责声明:本文章如果文章侵权,请联系我们处理,本站仅提供信息存储空间服务如因作品内容、版权和其他问题请于本站联系